Triplex καρδιάς. Υπερηχογράφημα καρδιάς (τρίπλεξ καρδιάς),
Διαθωρακικό Υπερηχοκαρδιογράφημα
Διαθωρακικό Υπερηχοκαρδιογράφημα
Στη σύγχρονη ιατρική, η καρδιά παραμένει το κέντρο του ενδιαφέροντος, καθώς είναι ο κινητήριος μοχλός της ζωής. Η κατανόηση της λειτουργίας της καρδιάς και η παρακολούθηση των παθήσεών της είναι θεμελιώδεις για τη διατήρηση της υγείας μας. Ένας από τους πιο πολύτιμους συμμάχους στη διάγνωση και την παρακολούθηση καρδιοαγγειακών παθήσεων είναι το διαθωρακικό υπερηχοκαρδιογράφημα. Αυτή η μη επεμβατική μέθοδος απεικόνισης επιτρέπει στους ιατρούς να εξετάσουν σε βάθος την ανατομία και τη λειτουργία της καρδιάς, προσφέροντας πολύτιμες πληροφορίες που συνδράμουν στη σωστή διάγνωση και θεραπεία.
Στο ακόλουθο άρθρο, θα εξερευνήσουμε τις αρχές της μεθόδου αυτής, τη σημασία της στην καθημερινή κλινική πράξη, αλλά και τα πλεονεκτήματα και τους περιορισμούς της. Μέσα από τη βαθιά ματιά που μας προσφέρει, θα ανακαλύψουμε πώς το διαθωρακικό υπερηχοκαρδιογράφημα όχι μόνο φωτίζει την καρδιά, αλλά και προσφέρει καθοδήγηση σε ένα από τα πιο σύνθετα και ενδιαφέροντα πεδία της ιατρικής.![]()
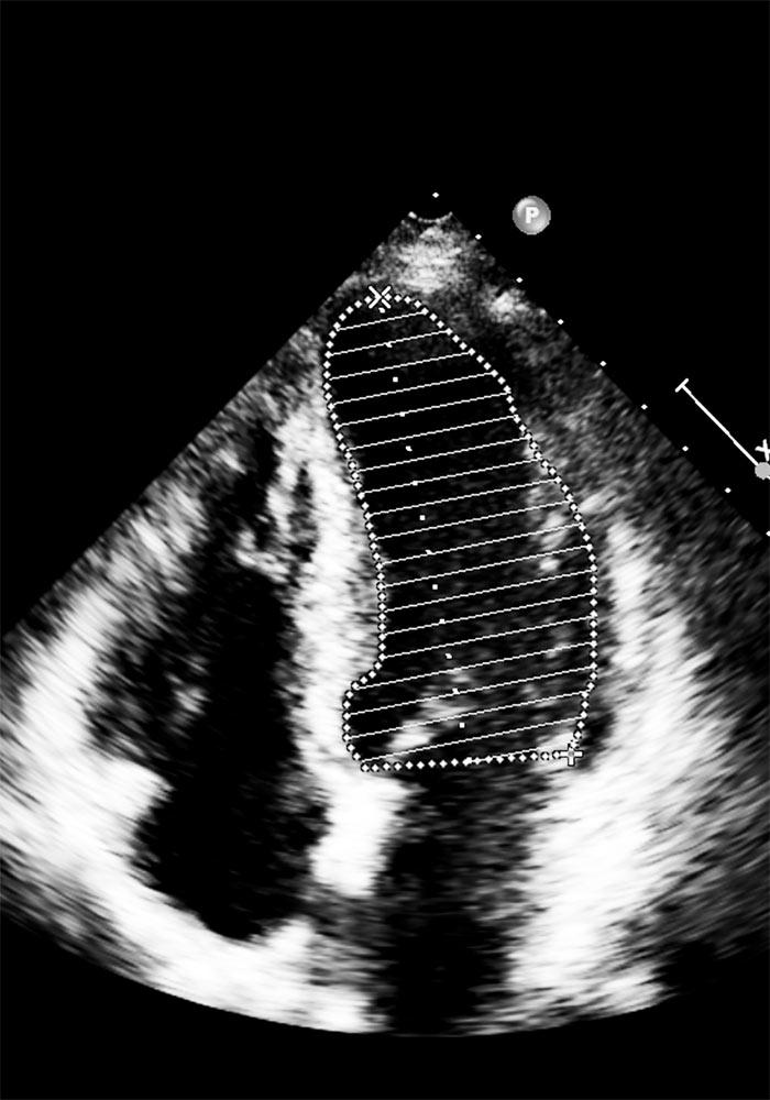
Ανακαλύπτοντας τη Δομή της Καρδιάς μέσω του Διαθωρακικού Υπερηχοκαρδιογραφήματος
Η τεχνολογία του διαθωρακικού υπερηχοκαρδιογραφήματος (ΔΥΚ) αποτελεί μια επαναστατική προσέγγιση στην μελέτη της καρδιάς, επιτρέποντας στους γιατρούς να αποκτήσουν λεπτομερείς εικόνες της καρδιακής δομής και λειτουργίας. Μέσω ηχητικών κυμάτων υψηλής συχνότητας, οι ειδικοί μπορούν να ανακαλύψουν ανατομικές λεπτομέρειες που προηγουμένως ήταν αόρατες ή δύσκολα προσβάσιμες. Αρκετοί παράγοντες συμβάλλουν στη χρησιμότητα αυτής της μεθόδου, όπως:
- Εικόνα σε πραγματικό χρόνο: Παρέχει ζωντανές εικόνες της καρδιάς καθώς λειτουργεί.
- Μη Επεμβατική Διαδικασία: Δε απαιτεί χειρουργικές παρεμβάσεις ή ενδοσκοπήσεις.
- Αξιολόγηση Γενικής Υγείας: Αρκετά χρήσιμη για την παρακολούθηση καρδιοαγγειακών παθήσεων.
Το ΔΥΚ επιτρέπει επίσης την εκτίμηση της λειτουργίας των καρδιακών θαλάμων και δεικτών όπως η καρδιομυϊκή συσπάση και η εκπαίδευση της καρδιάς. Η ικανότητα να παρακολουθούμε τη ροή του αίματος και την καρδιοαγγειακή πίεση παρέχει κρίσιμες πληροφορίες για τη διάγνωση και παρακολούθηση ασθενειών. Ένα συγκριτικό πλεονέκτημα είναι η δυνατότητα αξιολόγησης πολλών παραμέτρων σε πραγματικό χρόνο:
| Παράμετροι | Σημασία |
|---|---|
| Συστολική Πίεση | Αξιολόγηση της καρδιοαγγειακής πίεσης υπό φορτίο. |
| Διαστολική Διαταραχή | Πρόβλεψη παθήσεων του οξυγόνου και της πίεσης αίματος. |
| Ροή Αίματος | Ενδείκτης της καρδιοαγγειακής υγείας και λειτουργίας. |
![]()
Ερμηνεύοντας τα Αποτελέσματα
Τι μας Λέει το Υπερηχογράφημα για την Υγεία της Καρδιάς
Το υπερηχογράφημα της καρδιάς προσφέρει μια ακριβή εικόνα της λειτουργίας και της δομής της καρδιάς, επιτρέποντας στους ιατρούς να αξιολογήσουν τον καρδιοαγγειακό κίνδυνο και να προγραμματίσουν κατάλληλες θεραπευτικές προσεγγίσεις. Η ανάλυση των αποτελεσμάτων μπορεί να αποκαλύψει σημαντικά στοιχεία σχετικά με την υγεία του καρδιοπαθή, όπως:
- Εκτίμηση της καρδιακής λειτουργίας: Η εξαγωγή ποσοστών όπως το κλάσμα εξώθησης μπορεί να δείξει πόσο αποτελεσματικά η καρδιά αντλεί αίμα.
- Δομικές ανωμαλίες: Ο εντοπισμός ατελειών στον καρδιακό μυ ή τις βαλβίδες μπορεί να προσφέρει στοιχεία για πιθανά καρδιολογικά νοσήματα.
- Προβλήματα στη ροή του αίματος: Αποκλίσεις στη ροή μπορεί να δείξουν απόφραξη ή άλλες παθολογικές καταστάσεις.
Οι ιατροί εξετάζουν προσεκτικά τις εικόνες που προκύπτουν από το υπερηχογράφημα για να διαμορφώσουν μια συνολική εικόνα της υγείας της καρδιάς του ασθενούς. Επίσης, είναι σημαντική η παρακολούθηση τυχόν αλλαγών με την πάροδο του χρόνου. Οι παράγοντες που ληφθούν υπόψη περιλαμβάνουν:
| Σημαντικοί Παράγοντες | Σημασία |
|---|---|
| Ηλικία | Μπορεί να επηρεάσει την καρδιακή λειτουργία |
| Ιστορικό Καρδιοπαθειών | Αυξάνει τον κίνδυνο για παθολογίες |
| Διατροφή | Προβλέπει καρδιοαγγειακούς κινδύνους |

Στρατηγικές και Σύσταση για Ορθές Πρακτικές Καρδιολογικών Εξετάσεων
Η διεξαγωγή καρδιολογικών εξετάσεων απαιτεί προσεκτική προσέγγιση ώστε να διασφαλιστεί η αξιοπιστία και η ακρίβεια των αποτελεσμάτων. Ορισμένες προτεινόμενες στρατηγικές περιλαμβάνουν:
- Καλή προετοιμασία του ασθενούς: Ενημέρωση για την ανάγκη να διακοπεί η κατανάλωση τροφής και υγρών πριν από την εξέταση.
- Χρήση σύγχρονου εξοπλισμού: Βεβαίωση ότι οι μηχανές υπερηχοκαρδιογραφήματος είναι καλά συντηρημένες και ενημερωμένες.
- Εκπαίδευση του προσωπικού: Συνεχής επιμόρφωση του ιατρικού και παραϊατρικού προσωπικού για τις νέες τεχνικές και μεθόδους.
Επιπρόσθετα, είναι σημαντικό να τηρούνται κάποιες βέλτιστες πρακτικές κατά την εκτέλεση της εξέτασης. Κάποιες από αυτές περιλαμβάνουν:
| Πρακτική | Σκοπός |
|---|---|
| Σαφήνεια στη διαδικασία | Εξασφάλιση ότι ο ασθενής κατανοεί τη διαδικασία για να μειώσει το άγχος. |
| Ορθή τοποθέτηση αισθητήρων | Εγγύηση της ποιότητας των εικόνων και των μετρήσεων. |
![]()
Κατευθυντήριες Γραμμές για τη Συνεχή Παρακολούθηση της Καρδιοαγγειακής Υγείας μέσω Υπερηχοκαρδιογραφήματος
Η συνεχής παρακολούθηση της καρδιοαγγειακής υγείας είναι κρίσιμη για την πρόληψη σοβαρών καταστάσεων, όπως η καρδιοπάθεια ή τα εγκεφαλικά επεισόδια. Μέσω του διαθωρακικού υπερηχοκαρδιογραφήματος, οι κλινικοί ιατροί μπορούν να παρέχουν πολύτιμες πληροφορίες σχετικά με τη λειτουργία και τη δομή της καρδιάς. Προκειμένου να διασφαλιστεί η αποτελεσματικότητα της παρακολούθησης, είναι σημαντικό να τηρούνται συγκεκριμένες κατευθυντήριες γραμμές, όπως οι παρακάτω:
- Τακτική εκτίμηση της καρδιοαγγειακής κατάστασης: Συνιστάται η εκτέλεση υπερηχοκαρδιογράφηματος σε τακτά χρονικά διαστήματα, ανάλογα με τις ανάγκες του ασθενούς.
- Αξιολόγηση των παραγόντων κινδύνου: Η ανάλυση των παραγόντων κινδύνου, όπως η υπέρταση και η υπερλιπιδαιμία, είναι ουσιώδης για την πρόληψη καρδιοαγγειακών προβλημάτων.
- Συνεχής εκπαίδευση του προσωπικού: Η ενημέρωση και εκπαίδευση των ιατρών στο πεδίο των εξετάσεων είναι κρίσιμη για την καλύτερη αναγνώριση και αντιμετώπιση των καρδιοαγγειακών νοσημάτων.
Πρέπει επίσης να διασφαλίζεται η ακριβής ερμηνεία των αποτελεσμάτων του υπερηχοκαρδιογραφήματος. Η χρήση πιστοποιημένων εργαλείων και μεθόδων ανάλυσης μπορεί να συμβάλλει σε μια εμπεριστατωμένη και αξιόπιστη εκτίμηση της καρδιοαγγειακής υγείας. Η παρακολούθηση της προόδου εποπτεύεται συνήθως μέσω οργανωμένων συναντήσεων με το ιατρικό προσωπικό, εξασφαλίζοντας ότι οι θεραπευτικές παρεμβάσεις προσαρμόζονται κατάλληλα:
| Κατηγορία Αξιολόγησης | Συχνότητα |
|---|---|
| Πρώτη Εκτίμηση | Αμέσως μετά τη διάγνωση |
| Τακτικές Επανεκτιμήσεις | Κάθε 6 μήνες |
| Έκτακτες Εξετάσεις | Όποτε απαιτείται, βάση Συμπτωμάτων |
Συχνές ερωτήσεις για το τρίπλεξ καρδιάς
1. **Ερώτηση:** Τι είναι το υπερηχοκαρδιογράφημα καρδιάς;
**Απάντηση:** Είναι μια μη επεμβατική απεικονιστική εξέταση που χρησιμοποιεί ηχητικά κύματα για να απεικονίσει τη δομή και τη λειτουργία της καρδιάς.
2. **Ερώτηση:** Ποιες είναι οι βασικές ενδείξεις για τη διενέργεια υπερηχοκαρδιογραφήματος;
**Απάντηση:** Οι βασικές ενδείξεις περιλαμβάνουν την αξιολόγηση καρδιοπαθειών, την ανίχνευση καρδιακών ανωμαλιών, και την παρακολούθηση της καρδιοαγγειακής λειτουργίας.
3. **Ερώτηση:** Είναι ασφαλές το υπερηχοκαρδιογράφημα;
**Απάντηση:** Ναι, το υπερηχοκαρδιογράφημα είναι ασφαλές, καθώς δεν χρησιμοποιεί ακτινοβολία και δεν έχει γνωστές παρενέργειες.
4η Ερώτηση. Πώς γίνεται το υπερηχοκαρδιογράφημα;
** Απάντηση** Η διαδικασία του διαθωρακικού υπερηχοκαρδιογραφήματος είναι σχετικά απλή και συνήθως διαρκεί περίπου 30 με 60 λεπτά. Ο ασθενής τοποθετείται σε ύπτια θέση, ενώ ο γιατρός εφαρμόζει ένα ειδικό gel στο στήθος του ασθενούς για να διευκολύνει τη μετάδοση των υπερήχων. Στη συνέχεια, ο υπερηχογράφος, μια συσκευή που παράγει και ανιχνεύει τους υπερήχους, τοποθετείται σε διάφορες θέσεις στο στήθος, προκειμένου να ληφθούν οι απαραίτητες εικόνες. Είναι σημαντικό να σημειωθεί ότι η διαδικασία είναι ανώδυνη και δεν απαιτεί αναισθησία.
Κατά τη διάρκεια της εξέτασης, ο γιατρός μπορεί να αξιολογήσει διάφορες πτυχές της καρδιάς, όπως τη λειτουργία των καρδιακών βαλβίδων, την καρδιομυϊκή λειτουργία και την παρουσία υγρού στην περικαρδιακή κοιλότητα. Επιπλέον, το triplex καρδιάς μπορεί να παρέχει πληροφορίες σχετικά με την καρδιοαγγειακή υγεία του ασθενούς, όπως η παρουσία στεφανιαίας νόσου ή καρδιομυοπάθειας. Αυτές οι πληροφορίες είναι κρίσιμες για τη διάγνωση και την παρακολούθηση της καρδιολογικής κατάστασης του ασθενούς.
Συμπερασματικά
Συμπερασματικά, το διαθωρακικό υπερηχοκαρδιογράφημα αποτελεί ένα αναμφισβήτητο εργαλείο στην ιατρική διάγνωση και παρακολούθηση καρδιοαγγειακών παθήσεων. Με τη δυνατότητα να προσφέρει λεπτομερείς εικόνες της καρδιάς και των γύρω δομών, συμβάλλει στη γρήγορη και ακριβή αξιολόγηση της καρδιακής λειτουργίας. Αναδεικνύει την κρισιμότητα της πρόληψης και της έγκαιρης παρέμβασης, διασφαλίζοντας ότι οι ασθενείς λαμβάνουν την καλύτερη δυνατή φροντίδα. Η διαδικασία αυτή, αν και μπορεί να φαίνεται τεχνική και αφηρημένη, κρύβει πίσω της την επιθυμία μας για υγεία, ζωτικότητα και μια πιο ασφαλή καρδιά. Ας μην ξεχνάμε ότι η γνώση και η καλή ενημέρωση γύρω από τέτοιες διαδικασίες είναι το πρώτο βήμα προς την προαγωγή της υγείας μας. Δίνουμε την πρέπουσα σημασία στη υγεία της καρδιάς μας, γιατί τελικά, είναι η πηγή της ζωής μας.
